DỤNG CỤ CHỈNH HÌNH – GIẢI PHÁP ĐIỀU TRỊ CÁC VẤN ĐỀ VỀ THẦN KINH CƠ- XƯƠNG VÀ KHỚP
Dụng cụ chỉnh hình là gì, Khi nào thì cần đến sự hỗ trợ của dụng dụng cụ chỉnh hình?
Để giải đáp câu hỏi này cũng như để các bạn hiểu hơn về chức năng của các loại dụng cụ chỉnh hình đang có hiện nay. Cơ sở chỉnh hình Lê Hoàn sẽ cùng các bạn phân tích và tìm hiểu sâu hơn về dụng cụ chỉnh hình nói chung, mối tương quan, cách điều trị, hiệu quả, sự phù hợp riêng của từng loại dụng cụ chỉnh hình với các loại bệnh lý khác nhau về cơ – xương – khớp của người bệnh các bạn nhé.

Hệ xương- Mối tương quan giữa Dụng cụ chình hình với các bệnh lý
Dụng cụ chỉnh hình và công dụng chính
Các bạn biết đó, Dụng cụ chỉnh hình: là các thiết bị y tế được sản xuất (làm và thiết kế) để sử dụng bên ngoài cơ thể nhằm tác động đến các đặc điểm cấu trúc và chức năng của hệ thần kinh cơ và hệ xương.
- Nhằm mục đích hỗ trợ nâng đỡ cơ- xương- khớp, đồng thời có thể cố định sau chấn thương.
- Bảo vệ hoặc điều chỉnh các bộ phận cơ xương khớp bị tổn thương, suy yếu hoặc biến dạng.
- Điều chỉnh tư thế sai, và ngăn ngừa biến dạng nặng hơn.
- Giảm đau, cải thiện khả năng vận động và hỗ trợ phục hồi chức năng mà không cần phải phẫu thuật xâm lấn.

Đặc điểm, cấu tạo chính của các loại dụng cụ chỉnh hình.
Phần lớn các loại dụng cụ chỉnh hình được gọi chung là “Nẹp chỉnh hình” và được làm từ các nguyên vật liệu cứng, nguyên vật liệu mềm (Nẹp cứng và nẹp mềm) hoặc kết hợp đồng thời cả hai.
Căn cứ vào các đặc điểm cấu tạo, chức năng, nhiệm vụ riêng của từng loại nẹp người ta có thể chia chúng theo tên gọi riêng, như : Nẹp chỉnh hình bàn chân hay còn gọi là Đế chỉnh hình (Fo), Nẹp chỉnh hình tay-cổ bàn tay (WHO), Nẹp dưới gối (AFO), Nẹp trên gối (KAFO), Nẹp Hông (HKAFO)…v/v.
Tùy thuộc vào từng loại bệnh khác nhau, thông qua việc thăm khám, chuẩn đoán, mức độ đau nặng hay nhẹ. Người bệnh sẽ được tư vấn, chỉ định làm và thiết kế từng loại Nẹp- Dụng cụ chỉnh hình riêng biệt phù hợp với hiện trạng bệnh của mình.
Việc sử dụng nẹp đúng cách và điều trị đúng hướng sẽ đem lại hiệu quả cao và an toàn cho người bệnh,. Đáp ứng được đủ nhu cầu sử dụng cũng như khả năng cải thiện mong muốn của người bệnh.
Hầu hết chúng được sử dụng chính trong lĩnh vực phục hồi chức năng, được thiết kế riêng theo cấu tạo, giải phẫu và nhu cầu sử dụng của từng người bệnh viêm cơ xương, viêm khớp, chấn thương, người bệnh sau phẫu thuật, người mắc tật bẩm sinh khuyết tật vận động…
Cùng tìm hiểu về tác dụng tuyệt vời của Dụng cụ chỉnh hình thông qua các ca bệnh cụ thể
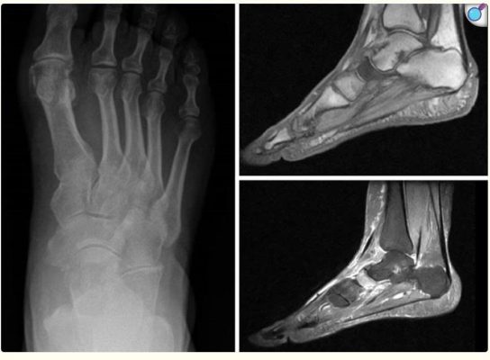
*Trường hợp viêm thái hóa xương thuyền Bàn chân –Hội chứng Muller-Weiss (MWD)
Chị Hồng: 50 tuổi đến từ Lào Cai
Chị đã thăm khám tại bệnh viện công và cả viện tư nhân, chuẩn đoán hình ảnh cho thấy: tổn thương, gai xương, thoái hóa khớp cổ chân phải, Phù nề dây chằng mác sau, dây chằng gót chày và dây chằng tam giác cổ chân. Phù nề phần mềm quanh khớp cổ chân và có dịch, kén dịch vùng mu chân. Phù tủy xương vị trí xương ghe, tổn thương tiến triển hơn so với thời kỳ khám trước của chị. Theo dõi hoại tử xương ghe (Hội chứng Muller Weiss )1.

Dụng cụ chỉnh hình – Hội chứng Muller-Weiss (MWD)
Hội chứng Muller-Weiss (MWD) là loại bệnh lý hiếm gặp, gây sụp đổ và phân mảnh tự phát của xương thuyền ở cổ chân người lớn, thường xảy ra ở cả hai bên và hay gặp hơn ở phụ nữ 40-60 tuổi. Triệu chứng chính là đau âm ỉ, dai dẳng lâu ngày ở giữa hoặc bên trong bàn chân, cơn đau tăng dần lên, dẫn đến biến dạng bàn chân, đi lại khó khăn. Nguyên nhân chưa rõ ràng, nhưng các nghiên cứu hiện đại cho thấy có liên quan đến sự chèn ép quá mức vào xương thuyền.
Chị Hồng đã được các bác sĩ ở viện/phòng khám tư vấn khám chữa bằng bằng liệu trình tiêm trực tiếp, uống thuốc kháng sinh và tập vật lý trị liệu cho bàn chân.
Tuy nhiên chân chị cũng chỉ đỡ tạm thời khi nghỉ ngơi, ít đi lại. Nếu chị đứng và đi nhiều hơn, đặc biệt chị là người thích đi bộ thì mỗi lần chị đi là Chân lại đau và tiếp tục đau tăng. Tình cờ chị được giới thiệu đến cơ sở chỉnh hình Lê Hoàn ở Đống Đa, Hà Nội.
Tại đây chị được thăm khám kỹ lưỡng thêm một lần nữa, đồng thời chị cũng được tư vấn điều trị bảo tồn chuyên sâu, đi “Đế chỉnh hình” hỗ trợ đôi bàn chân.
Đế được thiết kế đặc biệt, nắn chỉnh phù hợp, phân bổ lực đều, chịu lực ở những điểm không đau, diện đỡ và tiếp xúc lớn sẽ giảm và tránh vùng đau cho chân của chị. Đây là phương pháp vừa an toàn vừa nhẹ nhàng không ảnh hưởng đến sinh hoạt hàng ngày, giúp chân chị đi lại được thoải mái, cải thiện đau rõ rệt. Đồng thời chân vẫn có thời gian để lành, tránh biến chứng nặng do viêm gây ra. Điều đặc biệt mà chị thích và yên tâm nhất chính là không phải phẫu thuât xâm lấn.
Hội chứng Muller-Weiss có thể điều trị bằng 2 cách đi đế chình hình (Dụng cụ chỉnh hình) hoặc phẫu thuật.
Một trường hợp khác cũng được chỉ định điều trị bằng việc đi đế chỉnh hình, nhưng Đế lại được thiết kế chú trọng điều chỉnh hỗ trợ cho bệnh học khác.
Bệnh U Thần Kinh Morton– Đế Chỉnh hình (FO)
Đây là căn bệnh phổ biến ở chân nhưng không phải ai cũng biết đến bệnh học và đi đúng hướng, chữa đúng cách.
Một bệnh nhân nam, tên NHD 43 tuổi đến khám và chia sẻ “ 2 đến 3 năm gần đây, chân em bị đau, đi lại rất khó chịu, càng đi chân đất, đi bằng phẳng em càng đau hơn, đọc và tìm hiểu thì em bị bàn chân bẹt, em muốn làm đế chỉnh hình ạ”.
Sau khi kiểm tra thực tế và thăm khám kỹ lưỡng, các triệu chứng cho thấy:
Bạn NHD không chỉ bị bàn chân bẹt (không có vòm bàn, đau xương thuyền) mà bạn còn bị bệnh U thần kinh Morton (Morton’s Neuroma,) là tình trạng dây thần kinh ở bàn chân bị viêm và dày lên, thường xảy ra giữa ngón chân thứ ba và thứ tư, gây đau nhói, nóng rát hoặc cảm giác như có đá trong giày, ảnh hưởng đến việc đi lại, công việc và sinh hoạt hàng ngày.
Gọi là “u” nhưng nó không phải khối u ung thư mà là sự phát triển mô bao quanh dây thần kinh do bị chèn ép và kích ứng mãn tính, thường do mang giày chật, gót cao hoặc hoạt động lặp đi lặp lại.

Dụng cụ chỉnh hình- Bệnh Morton
* Các Dấu hiệu nhận biết Bệnh U Thần Kinh Morton.
+ Đau: Cảm giác đau nhói, rát, tê bì, hoặc cảm giác có vật lạ (như sỏi) dưới lòng bàn chân, đặc biệt khi đi giày hoặc khi đi chân đất trên nền bằng.
+ Vị trí đau : Thường gặp nhất ở giữa ngón 3 và 4, nhưng cũng có thể ở ngón 2-3.
+ Ngoài ra còn các triệu chứng khác như Cảm giác kiến bò, chuột rút ở ngón chân.
* Nguyên nhân chính: Do sự chèn ép các dây thần kinh ngón chân, từ việc đi giầy cao gót, giày mũi nhọn (mũi bàn hẹp) hoặc do các hoạt động lặp đi lặp lại quá lâu tạo áp lực lên bàn chân thường xuyên (đứng lâu hàng giờ, chạy bộ, múa) hoặc do bệnh lý bàn chân như: bàn chân bẹt, sập vòm, biến dạng gân, bàn chân.
* Phương pháp điều trị: Có thể điều trị bằng các phương pháp khác nhau:
- Cắt bỏ phần dây thần kinh bị dày lên trong trường hợp nặng (hình thức phẫu thuật).
- Tiêm hoặc uống thuốc trong trường hợp đau cấp.
- Đi đế chỉnh hình bàn chân kết hợp tập vật lý trị liệu, đi giầy bằng, mũi rộng hơn.
Đi đế chỉnh hình là giải pháp tối ưu nhất và rất an toàn, không phải uống thuốc, không can thiệp xâm lấn, tránh được tổn thương sâu. Đặc biệt với các giai đoạn sớm
khi có các triệu chứng cần phải đi khám ngay để bắt đúng bệnh và điều trị ngay, tránh được tổn thương thần kinh vĩnh viễn.
- Trường hợp sử dụng Dụng cụ chinh hình, Nẹp cho bệnh viêm khớp gối và loãng xương tuổi già


Your comment